Filtrer
Accueil

Le jargon des mycologues

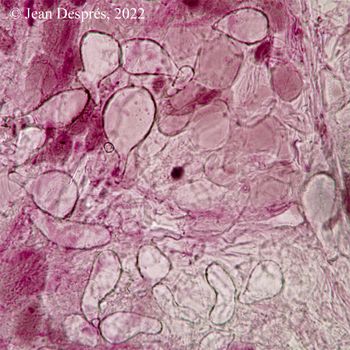
Celluleux

Microscope

Composée de cellules arrondies.

Se dit surtout d’une cuticule ou de la trame des lames.

SchémaSchema
ExempleExample

Cuticule du Plutée nain (Pluteus nanus)

Glossaire illustré par Jean Després

Collaboration : P. Dauzet, M. Ledecq, C. Marchand et J. Clément